昕昕又要睇牙醫了!講起昕昕點解成日要睇牙醫,真係一匹布咁長>< 因為出牙問題一直以來仍然未解決,所以今次嘗試去一間家庭牙科較出名的荃灣牙科診所,希望昕昕睇呢位荃灣牙醫時唔會咁緊張~~~
昕昕未夠5歲就開始甩乳齒,到依家已經甩咗6隻,而令我呢個媽媽覺得煩惱係昕昕第二隻門牙在五歲生日後到依家過咗成年都仲未出,昕昕成日影相都唔太想露齒笑><
以下係昕昕之前的甩牙記錄blog~~~
舊年7月31日昕昕爸爸帶昕昕第二次睇牙醫,因為昕昕的門牙超過半年仲未出,果陣見到昕昕的門牙在準備出來,所以昕昕爸爸就由他吧~~~
牙醫姐姐幫昕昕睇吓牙齒~~~
牙醫姐姐話昕昕門牙遲遲未出可能因為佢牙肉太厚,依家牙肉明顯見到已經白曬,右邊門牙腳已經開始有dd出來~~~
牙醫姐姐話想牙齒加快出來可以用激光微創開牙肉,要打針止痛,昕昕聽到就say no,牙醫姐姐話都可以讓其自然長出,只是時間比較耐一點~~~
牙醫姐姐話以前呢個情況係要開刀,現在用微創已經係痛少咗好多~~~
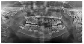
做媽媽的我當然想知道昕昕牙科全而情況,加上牙齒姐姐都明白我的擔憂,所以安排昕昕的牙齒照X光,價錢係$400,能夠全部牙睇曬收呢個價錢真係好過之前俾$120照幾隻牙仔~~~
原來依家照牙齒的X光機先進到係可以調節高度,其實我兩年前洗牙都照過一次,過程好簡單~~~
依家的牙齒X光片係可以電腦輸出,檢查後數天可以電郵收到,昕昕在照X光時有少少郁,所以部份位置矇咗D,好在冇影響我們睇佢的情況~~~
牙醫姐姐話昕昕的恆齒大都已經在準備,門牙沒有牙腳紮根,所以不用擔心門牙唔會出來,牙醫姐姐仲安排昕昕兩個月後再檢查進度~~~
牙醫姐姐話昕昕的十四歲齒也在裡面,諗起我自己在17歲就出了智慧齒,莫非昕昕似我會早出大牙o(*≧▽≦)ツ
昕昕會再去昕昕牙醫覆診的,有需要可以去下面牙科診所網站了解更多~~~
地址:香港荃灣眾安街68號荃灣千色匯I期20樓2010室
生活易推出咗BB成長日記,方便媽媽記錄BB成長片段, 我幫昕昕建立咗一個,大家有時間可以參觀=W=
我的網誌~~~
She blog (New) She blog (Old)
我的飲食分享:如有任何Blogger活動邀請或試用,可以聯絡我的電郵:
mandylau55@gmail.com








沒有留言:
張貼留言